A articulação do joelho frequentemente sofre lesões devido à atividade física. Embora muitas delas respondam ao tratamento conservador, inúmeras situações exigem intervenção cirúrgica. A grande maioria das lesões cirúrgicas do joelho pode ser tratada por procedimentos artroscópicos. Estes oferecem menor morbidade e um pós-operatório menos doloroso, além disso, proporcionam uma recuperação mais rápida. As lesões com maior prevalência que requerem essa cirurgia artroscópica são: lesões meniscais, lesões do ligamento cruzado anterior (LCA) e lesões condrais (cartilaginosas).
Lesões Meniscais do Joelho e a Artroscopia
Os meniscos são estruturas fibrocartilaginosas que desempenham funções vitais na articulação do joelho:
- Função amortecedora
- Transmissão de forças
- Absorção de choque
- Estabilidade articular
- Lubrificação articular e nutrição
- Propriocepção
Pacientes com lesões meniscais geralmente sentem dor na interlinha articular, associada a bloqueio articular e à sensação de falseio (instabilidade). Para lesões periféricas e longitudinais menores que 1 cm, o tratamento é conservador. No entanto, lesões longitudinais periféricas em pacientes jovens, com mais de 1 cm, indicam sutura artroscópica.
Tratamento das Lesões Meniscais por Artroscopia
A vascularização do tecido meniscal ocorre na periferia, o que é fundamental para o planejamento do tratamento. Apenas o terço periférico meniscal é vascularizado; ou seja, lesões que ocorrem fora dessa área têm baixo potencial de cicatrização. A preservação do tecido meniscal é essencial para manter o equilíbrio articular. Assim, mesmo quando meniscectomias (remoção meniscal) são necessárias em lesões com baixo potencial de cicatrização, os cirurgiões tendem a realizá-las de forma menor, buscando preservar a maior quantidade possível de tecido meniscal.
(Aqui, os vídeos sobre lesão meniscal periférica, meniscal medial e meniscal lateral seriam inseridos)
Pacientes submetidos à sutura meniscal devem evitar flexões maiores que 90 graus por 45 dias. Geralmente, os médicos os liberam para praticar atividades esportivas após 6 meses da cirurgia artroscópica. Pacientes submetidos a meniscectomias parciais são liberados para apoiar precocemente e, normalmente, retornam às atividades físicas após 60 dias. Convém ressaltar que o tempo de recuperação pós-operatória varia, e o médico especialista deve analisá-lo caso a caso.
Lesão do Ligamento Cruzado Anterior (LCA) e Artroscopia
O ligamento cruzado anterior é o principal estabilizador do joelho. Sua função é impedir o deslocamento anterior da tíbia em relação ao fêmur. Pacientes com lesão nesse ligamento, muitas vezes, relatam um episódio de entorse ou trauma na articulação, seguido de inchaço, dor e, posteriormente, sensação de falseio.
A instabilidade provocada pela lesão do LCA pode, a partir de 6 meses, causar lesões degenerativas da cartilagem articular. Após 5 anos de lesão, 50% dos pacientes desenvolvem artrose da articulação do joelho e, após 10 anos, 75% dos pacientes apresentam esse quadro.
Em até 50% dos casos de pacientes com lesão do LCA, há lesões meniscais associadas. Por isso, é mandatório investigar a ocorrência dessas lesões. O exame clínico do paciente, com alta acurácia, pode reconhecer a lesão do LCA. Os testes mais aplicados são o Lachmann e o Pivot Shift Test.
Atualmente, a indicação de tratamento para indivíduos fisicamente ativos que apresentam instabilidade anterior do joelho é a reconstrução ligamentar com o uso de enxertos. Os enxertos mais utilizados no momento são: os tendões da pata de ganso (semitendinoso e grácil) e o tendão patelar.
Desde 1997, em nossa rotina, utilizamos a reconstrução do LCA com tendões flexores (grácil e semitendinoso). Essa técnica, além de ter menor morbidade, permite um pós-operatório menos doloroso e uma estética melhor por não envolver um acesso anterior no joelho. Em termos funcionais, os enxertos citados são equivalentes e os médicos os indicam para esse fim, com total respaldo da literatura.
Os pacientes recebem orientação para mobilizar e apoiar precocemente o membro inferior acometido. Além disso, os encaminhamos ao acompanhamento de fisioterapeuta e educador físico. Na grande maioria das vezes, os pacientes podem retornar às atividades físicas de contato físico após 6 meses.
Lesões Condrais do Joelho e o Papel da Artroscopia
A cartilagem articular hialina compõe-se de células (condrócitos) e uma matriz de colágeno, proteoglicanos e água. O colágeno tipo II é um dos principais componentes da cartilagem, associado a proteoglicanos e glicoproteínas. Sua rede aumenta a resistência tênsil tecidual e contribui para a agregação de macromoléculas.
Lesões condrais incluem:
- Patologias Condrais e Osteocondrais: como Osteocondrite Dissecante.
- Lesões degenerativas: como Osteoartrite/Artrose.
As opções de tratamento para as lesões condrais, osteocondrais e degenerativas abrangem medidas não cirúrgicas, como o uso de condroprotetores e infiltrações articulares de ácido hialurônico, associados à fisioterapia. Dependendo do grau da lesão e da não resposta ao tratamento conservador, podemos indicar o tratamento cirúrgico. As opções variam de desbridamento condral, microperfurações, enxertos osteocondrais (mosaicoplastia) ou até mesmo implante de condrócitos.
As microperfurações ou microfraturas buscam criar um revestimento fibrocartilaginoso em uma área restrita com ausência de cartilagem e exposição do osso subcondral. Sendo assim, a mosaicoplastia tem o objetivo de criar um revestimento com cartilagem hialina de área doadora do joelho para a cobertura do defeito condral.
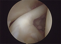
Mostramos ao lado um caso de um paciente masculino de 33 anos com uma lesão osteocondral cística do côndilo femoral medial do joelho. O paciente apresentava dores de forte intensidade e derrames articulares de repetição.

















